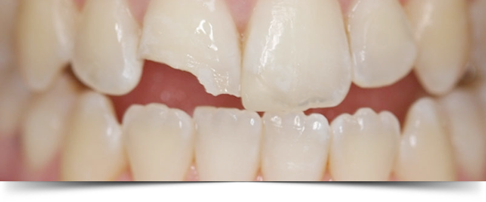
ODONTOLOGÍA CONSERVADORA Y ESTÉTICA
Se ocupa de restaurar los dientes que han sido destruidos por la caries, traumatismos, alteraciones del desarrolllo o coloración.
Para ello se requieren diferentes técnicas:
- • Restauración mediante Empastes de Composite.
- • Carillas de Composite o Porcelana.
- • Coronas de Metal-Porcelana, Zirconio-Porcelana o sólo Porcelana.
- • Blanqueamientos Dentales.